Die „dental excellence international laboratory network e.V.“ ist eine Gruppe zahntechnischer Laboratorien, die qualitativ hochwertigen Zahnersatz nach dem neuesten Stand der Zahnmedizin und -technik herstellt. Dies geschieht ausschließlich im Auftrag und in Zusammenarbeit mit renommierten Zahnärzten. Funktion und Ästhetik sind hier genauso selbstverständlich wie der Einsatz erprobter und körperverträglicher Materialien. Die Mitglieder zeigen eine überdurchschnittliche Bereitschaft zur Fortbildung und sind bereit immer etwas mehr zu leisten, als Sie erwarten. “dental excellence”-Labore bewegen sich auf der Höhe der Zeit und haben meist sogar einen Wissens- und Entwicklungsvorsprung. Für diese Auszeichnung und die Aufnahme als Mitglied wurde einmal mehr die Arbeitsweise des Labors unter die Lupe genommen und so musste ein aussagekräftiger Patientenfall dokumentiert, beschrieben und fotografiert werden. Der Vorstand überprüfte die Unterlagen und “die eingereichte Dokumentation wurde für exzellent befunden” Mit dem Bestehen der Prüfung sind wir nun seit Januar 2019 offiziell als dental-excellence-Mitglied aufgenommen und gelistet.
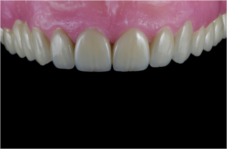
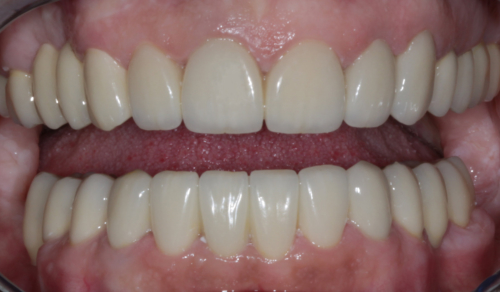
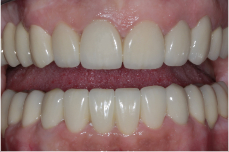
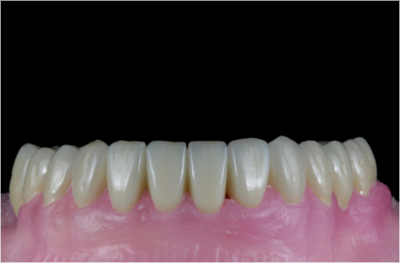
Anamnese: Die Patientin wurde in der Praxis mit einem stark erodierten Restzahnbestand vorstellig und der Biss war dadurch bedingt stark abgesunken. Nach der Festlegung einer neuen therapeutischen Bisshöhe durch den Behandler wurde als erstes eine adjustierte Aufbißschiene gefertigt, damit sich die Patientin an die neue Okklusionshöhe gewöhnen konnte. Nach einigen Wochen Tragedauer und einer positiven Resonanz der Patientin wurde die neue (habituelle) Okklusionshöhe 1:1 mittels CAD/CAM- Technik in Langzeitprovisorien (aus Komposite) umgesetzt. Von der darauf folgenden definitiven Versorgung möchte ich Ihnen gerne einige Bilder aus der Dokumentation präsentieren…
Infos zur Auszeichnung und Mitgliedschaft der “dental excellence”
Patientenfall: OK und UK Totalsanierung in Vollkeramik
Für die Gallerieansicht Bilder anwählen…
Die „dental excellence international laboratory network e.V.“ ist eine Gruppe zahntechnischer Laboratorien, die qualitativ hochwertigen Zahnersatz nach dem neuesten Stand der Zahnmedizin und -technik herstellt. Dies geschieht ausschließlich im Auftrag und in Zusammenarbeit mit renommierten Zahnärzten. Funktion und Ästhetik sind hier genauso selbstverständlich wie der Einsatz erprobter und körperverträglicher Materialien. Die Mitglieder zeigen eine überdurchschnittliche Bereitschaft zur Fortbildung und sind bereit immer etwas mehr zu leisten, als Sie erwarten. “dental excellence”-Labore bewegen sich auf der Höhe der Zeit und haben meist sogar einen Wissens- und Entwicklungsvorsprung. Für diese Auszeichnung und die Aufnahme als Mitglied wurde einmal mehr die Arbeitsweise des Labors unter die Lupe genommen und so musste ein aussagekräftiger Patientenfall dokumentiert, beschrieben und fotografiert werden. Der Vorstand überprüfte die Unterlagen und “die eingereichte Dokumentation wurde für exzellent befunden” Mit dem Bestehen der Prüfung sind wir nun seit Januar 2019 offiziell als dental-excellence-Mitglied aufgenommen und gelistet.
Anamnese: Die Patientin wurde in der Praxis mit einem stark erodierten Restzahnbestand vorstellig und der Biss war dadurch bedingt stark abgesunken. Nach der Festlegung einer neuen therapeutischen Bisshöhe durch den Behandler wurde als erstes eine adjustierte Aufbißschiene gefertigt, damit sich die Patientin an die neue Okklusionshöhe gewöhnen konnte. Nach einigen Wochen Tragedauer und einer positiven Resonanz der Patientin wurde die neue (habituelle) Okklusionshöhe 1:1 mittels CAD/CAM-Technik in Langzeitprovisorien (aus Komposite) umgesetzt. Von der darauf folgenden definitiven Versorgung möchte ich Ihnen gerne einige Bilder aus der Dokumentation präsentieren…
Mitglied der “dental excellence”
Patientenfall „Totalsanierung“
Für die Gallerieansicht Bilder anwählen…
Die „dental excellence international laboratory network e.V.“ ist eine Gruppe zahntechnischer Laboratorien, die qualitativ hochwertigen Zahnersatz nach dem neuesten Stand der Zahnmedizin und -technik herstellt. Dies geschieht ausschließlich im Auftrag und in Zusammenarbeit mit renommierten Zahnärzten. Funktion und Ästhetik sind hier genauso selbstverständlich wie der Einsatz erprobter und körperverträglicher Materialien. Die Mitglieder zeigen eine überdurchschnittliche Bereitschaft zur Fortbildung und sind bereit immer etwas mehr zu leisten, als Sie erwarten. “dental excellence”-Labore bewegen sich auf der Höhe der Zeit und haben meist sogar einen Wissens- und Entwicklungsvorsprung. Für diese Auszeichnung und die Aufnahme als Mitglied wurde einmal mehr die Arbeitsweise des Labors unter die Lupe genommen und so musste ein aussagekräftiger Patientenfall dokumentiert, beschrieben und fotografiert werden. Der Vorstand überprüfte die Unterlagen und “die eingereichte Dokumentation wurde für exzellent befunden” Mit dem Bestehen der Prüfung sind wir nun seit Januar 2019 offiziell als dental-excellence-Mitglied aufgenommen und gelistet.
Anamnese: Die Patientin wurde in der Praxis mit einem stark erodierten Restzahnbestand vorstellig und der Biss war dadurch bedingt stark abgesunken. Nach der Festlegung einer neuen therapeutischen Bisshöhe durch den Behandler wurde als erstes eine adjustierte Aufbißschiene gefertigt, damit sich die Patientin an die neue Okklusionshöhe gewöhnen konnte. Nach einigen Wochen Tragedauer und einer positiven Resonanz der Patientin wurde die neue (habituelle) Okklusionshöhe 1:1 mittels CAD/CAM-Technik in Langzeitprovisorien (aus Komposite) umgesetzt. Von der darauf folgenden definitiven Versorgung möchte ich Ihnen gerne einige Bilder aus der Dokumentation präsentieren…
Infos zur Auszeichnung und Mitgliedschaft der “dental excellence”
Patientenfall: OK und UK Totalsanierung in Vollkeramik
Für die Gallerieansicht Bilder anwählen…
Die „dental excellence international laboratory network e.V.“ ist eine Gruppe zahntechnischer Laboratorien, die qualitativ hochwertigen Zahnersatz nach dem neuesten Stand der Zahnmedizin und -technik herstellt. Dies geschieht ausschließlich im Auftrag und in Zusammenarbeit mit renommierten Zahnärzten. Funktion und Ästhetik sind hier genauso selbstverständlich wie der Einsatz erprobter und körperverträglicher Materialien. Die Mitglieder zeigen eine überdurchschnittliche Bereitschaft zur Fortbildung und sind bereit immer etwas mehr zu leisten, als Sie erwarten. “dental excellence”-Labore bewegen sich auf der Höhe der Zeit und haben meist sogar einen Wissens- und Entwicklungsvorsprung. Für diese Auszeichnung und die Aufnahme als Mitglied wurde einmal mehr die Arbeitsweise des Labors unter die Lupe genommen und so musste ein aussagekräftiger Patientenfall dokumentiert, beschrieben und fotografiert werden. Der Vorstand überprüfte die Unterlagen und “die eingereichte Dokumentation wurde für exzellent befunden” Mit dem Bestehen der Prüfung sind wir nun seit Januar 2019 offiziell als dental- excellence-Mitglied aufgenommen und gelistet.
Anamnese: Die Patientin wurde in der Praxis mit einem stark erodierten Restzahnbestand vorstellig und der Biss war dadurch bedingt stark abgesunken. Nach der Festlegung einer neuen therapeutischen Bisshöhe durch den Behandler wurde als erstes eine adjustierte Aufbißschiene gefertigt, damit sich die Patientin an die neue Okklusionshöhe gewöhnen konnte. Nach einigen Wochen Tragedauer und einer positiven Resonanz der Patientin wurde die neue (habituelle) Okklusionshöhe 1:1 mittels CAD/CAM-Technik in Langzeitprovisorien (aus Komposite) umgesetzt. Von der darauf folgenden definitiven Versorgung möchte ich Ihnen gerne einige Bilder aus der Dokumentation präsentieren…
Infos zur Auszeichnung und Mitgliedschaft der “dental excellence”
Patientenfall: OK und UK Totalsanierung in Vollkeramik
Für die Gallerieansicht Bilder anwählen…