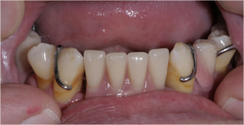
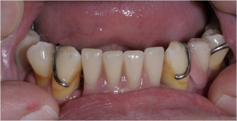
Bei der Modellgußprothese werden künstliche Zähne aus Kunststoff an einer Metallbasis befestigt und über Metallklammern mit den Restzähnen verbunden
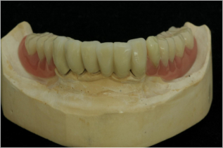
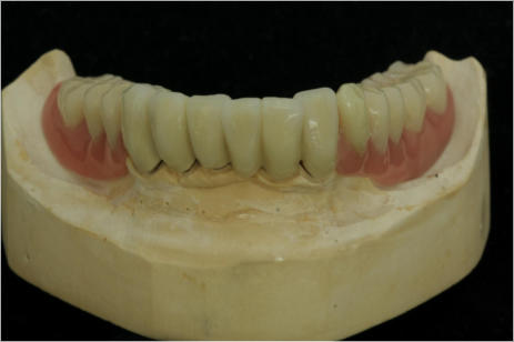
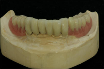
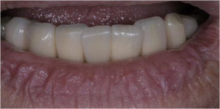
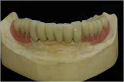
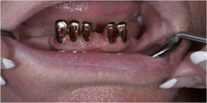
Die Teleskoptechnik ist eine hochwertige Form des herausnehmbaren Zahnersatzes. Hier wird der Zahnersatz nicht über Klammern, sondern durch Doppelkronen befestigt. Die Prothese besteht aus einer Kombination von festsitzendem und herausnehmbaren Zahnersatz. Auf dem beschliffenen Zahn werden Doppelkronen gearbeitet. Sie bestehen aus einem Goldkäppchen, das den Zahnstumpf schützt und der Zweitkrone die auf dieses Goldkäppchen aufgearbeitet wird. An diesen Zweitkronen wird die herausnehmbare Prothese befestigt. Der optimale Sitz und der Halt der Prothese wird durch eine auf den hunderstel Millimeter gearbeitete Paßgenauigkeit erreicht.
Pro: Die Modellgussprothese ist eine preiswerte Kassen-Standard-Lösung. Sie lässt sich leicht reparieren und erweitern. Diese Prothese ist eine stabile Konstruktion, da sie aus einem Guß besteht. Außerdem ist sie bei Zahnverlust erweiterbar. Kontra: Eine Versorgung, die nur den geringsten Ansprüchen gerecht wird - die Klammern sichern den Sitz der Prothese nur bedingt. Die Modellgussprothese ist ästhetisch äußerst unbefriedigend. Außerdem werden die Zähne durch die Klammern abgenutzt. Eine Hebelwirkung an den umklammerten Zähnen sorgt für eine unpysiologische (=nicht natürliche) Belastung, die später zum Zahnverlust führen kann. Der Tragekomfort ist sehr gering. An den Halteklammer hängt sich oft die Nahrung fest. Teile des Gaumens sind von einer Metallbasis abgedeckt bzw. muss im Unterkiefer mit einem Metallbügel gearbeitet werden.
Pro: Sehr gute Ästhetik möglich (je nach Neigung des Restzahnbestandes). Gute Reinigungsmöglichkeit. Leichte Instandsetzung und Erweiterungsfähigkeit. Sehr guter Tragekomfort. Sehr gut individualisierbar, daher den natürlichen Zähnen gut nachempfindbar. Die Belastung der Teleskopkrone ist pysiologisch (=natürlich) und der Restzahnbestand wird stabilisiert. Es ist eine sehr anspruchsvolle Lösung, mit der Ihr Zahnersatz auch Ihr Geheimniss bleiben kann. Kontra: Erhöhter Platzbedarf bei Doppelkronen. Verblendmaterial ist Komposit. Kleiner Teil des Gaumens kann von einer Metallbasis verdeckt sein. Aufwand und Kosten sind höher.
Die Teleskopversorgung
Zahnersatzarten - herausnehmbar
Die Klammermodellgußprothese
die Standard Kassenlösung
für hohen Tragekomfort und gutes Aussehen
Bei der Modellgußprothese werden künstliche Zähne aus Kunststoff an einer Metallbasis befestigt und über Metallklammern mit den Restzähnen verbunden
Die Teleskoptechnik ist eine hochwertige Form des herausnehmbaren Zahnersatzes. Hier wird der Zahnersatz nicht über Klammern, sondern durch Doppelkronen befestigt. Die Versorgung besteht aus einer Kombination von festsitzendem und herausnehmbaren Zahnersatz. Auf dem beschliffenen Zahn werden Doppelkronen gearbeitet. Sie bestehen aus einem Goldkäppchen, das den Zahnstumpf schützt und der Zweitkrone die auf dieses Goldkäppchen aufgearbeitet wird. An diesen Zweitkronen wird die herausnehmbare Prothese befestigt. Der optimale Sitz und der Halt der Prothese wird durch eine auf den hunderstel Millimeter gearbeitete Paßgenauigkeit erreicht.
Pro: Die Modellgussprothese ist eine preiswerte Kassen- Standard-Lösung. Sie lässt sich leicht reparieren und erweitern. Diese Prothese ist eine stabile Konstruktion, da sie aus einem Guß besteht. Außerdem ist sie bei Zahnverlust erweiterbar. Kontra: Eine Versorgung, die nur den geringsten Ansprüchen gerecht wird - die Klammern sichern den Sitz der Prothese nur bedingt. Die Modellgussprothese ist ästhetisch äußerst unbefriedigend. Außerdem werden die Zähne durch die Klammern abgenutzt. Eine Hebelwirkung an den umklammerten Zähnen sorgt für eine unpysiologische (=nicht natürliche) Belastung, die später zum Zahnverlust führen kann. Der Tragekomfort ist sehr gering. An den Halteklammer hängt sich oft die Nahrung fest. Teile des Gaumens sind von einer Metallbasis abgedeckt bzw. muss im Unterkiefer mit einem Metallbügel gearbeitet werden.
Pro: Sehr gute Ästhetik möglich (je nach Neigung des Restzahnbestandes). Gute Reinigungsmöglichkeit. Leichte Instandsetzung und Erweiterungsfähigkeit. Sehr guter Tragekomfort. Sehr gut individualisierbar, daher den natürlichen Zähnen gut nachempfindbar. Die Belastung der Teleskopkrone ist pysiologisch (=natürlich) und der Restzahnbestand wird stabilisiert. Es ist eine sehr anspruchsvolle Lösung, mit der Ihr Zahnersatz auch Ihr Geheimniss bleiben kann. Kontra: Erhöhter Platzbedarf bei Doppelkronen. Verblendmaterial ist Komposit. Kleiner Teil des Gaumens kann von einer Metallbasis verdeckt sein. Aufwand und Kosten sind höher.
Die Teleskopversorgung
Zahnersatzarten - herausnehmbar
für hohen Tragekomfort und gutes Aussehen
Die Klammermodellgußprothese die standard Kassenlösung
Bei der Modellgußprothese werden künstliche Zähne aus Kunststoff an einer Metallbasis befestigt und über Metallklammern mit den Restzähnen verbunden
Die Teleskoptechnik ist eine hochwertige Form des herausnehmbaren Zahnersatzes. Hier wird der Zahnersatz nicht über Klammern, sondern durch Doppelkronen befestigt. Die Prothese besteht aus einer Kombination von festsitzendem und herausnehmbaren Zahnersatz. Auf dem beschliffenen Zahn werden Doppelkronen gearbeitet. Sie bestehen aus einem Goldkäppchen, das den Zahnstumpf schützt und der Zweitkrone die auf dieses Goldkäppchen aufgearbeitet wird. An diesen Zweitkronen wird die herausnehmbare Prothese befestigt. Der optimale Sitz und der Halt der Prothese wird durch eine auf den hunderstel Millimeter gearbeitete Paßgenauigkeit erreicht.
Pro: Die Modellgussprothese ist eine preiswerte Kassen-Standard-Lösung. Sie lässt sich leicht reparieren und erweitern. Diese Prothese ist eine stabile Konstruktion, da sie aus einem Guß besteht. Außerdem ist sie bei Zahnverlust erweiterbar. Kontra: Eine Versorgung, die nur den geringsten Ansprüchen gerecht wird - die Klammern sichern den Sitz der Prothese nur bedingt. Die Modellgussprothese ist ästhetisch äußerst unbefriedigend. Außerdem werden die Zähne durch die Klammern abgenutzt. Eine Hebelwirkung an den umklammerten Zähnen sorgt für eine unpysiologische (=nicht natürliche) Belastung, die später zum Zahnverlust führen kann. Der Tragekomfort ist sehr gering. An den Halteklammer hängt sich oft die Nahrung fest. Teile des Gaumens sind von einer Metallbasis abgedeckt bzw. muss im Unterkiefer mit einem Metallbügel gearbeitet werden.
Pro: Sehr gute Ästhetik möglich (je nach Neigung des Restzahnbestandes). Gute Reinigungsmöglichkeit. Leichte Instandsetzung und Erweiterungsfähigkeit. Sehr guter Tragekomfort. Sehr gut individualisierbar, daher den natürlichen Zähnen gut nachempfindbar. Die Belastung der Teleskopkrone ist pysiologisch (=natürlich) und der Restzahnbestand wird stabilisiert. Es ist eine sehr anspruchsvolle Lösung, mit der Ihr Zahnersatz auch Ihr Geheimniss bleiben kann. Kontra: Erhöhter Platzbedarf bei Doppelkronen. Verblendmaterial ist Komposit. Kleiner Teil des Gaumens kann von einer Metallbasis verdeckt sein. Aufwand und Kosten sind höher.
Zahnersatzarten - herausnehmbar
Die Klammermodellgußprothese - die standard Kassenlösung
Die Teleskopprothese - für hohen Tragekomfort und gutes Aussehen
Bei der Modellgußprothese werden künstliche Zähne aus Kunststoff an einer Metallbasis befestigt und über Metallklammern mit den Restzähnen verbunden
Die Teleskoptechnik ist eine hochwertige Form des herausnehmbaren Zahnersatzes. Hier wird der Zahnersatz nicht über Klammern, sondern durch Doppelkronen befestigt. Die Prothese besteht aus einer Kombination von festsitzendem und herausnehmbaren Zahnersatz. Auf dem beschliffenen Zahn werden Doppelkronen gearbeitet. Sie bestehen aus einem Goldkäppchen, das den Zahnstumpf schützt und der Zweitkrone die auf dieses Goldkäppchen aufgearbeitet wird. An diesen Zweitkronen wird die herausnehmbare Prothese befestigt. Der optimale Sitz und der Halt der Prothese wird durch eine auf den hunderstel Millimeter gearbeitete Paßgenauigkeit erreicht.
Pro: Die Modellgussprothese ist eine preiswerte Kassen-Standard-Lösung. Sie lässt sich leicht reparieren und erweitern. Diese Prothese ist eine stabile Konstruktion, da sie aus einem Guß besteht. Außerdem ist sie bei Zahnverlust erweiterbar. Kontra: Eine Versorgung, die nur den geringsten Ansprüchen gerecht wird - die Klammern sichern den Sitz der Prothese nur bedingt. Die Modellgussprothese ist ästhetisch äußerst unbefriedigend. Außerdem werden die Zähne durch die Klammern abgenutzt. Eine Hebelwirkung an den umklammerten Zähnen sorgt für eine unpysiologische (=nicht natürliche) Belastung, die später zum Zahnverlust führen kann. Der Tragekomfort ist sehr gering. An den Halteklammer hängt sich oft die Nahrung fest. Teile des Gaumens sind von einer Metallbasis abgedeckt bzw. muss im Unterkiefer mit einem Metallbügel gearbeitet werden.
Pro: Sehr gute Ästhetik möglich (je nach Neigung des Restzahnbestandes). Gute Reinigungsmöglichkeit. Leichte Instandsetzung und Erweiterungsfähigkeit. Sehr guter Tragekomfort. Sehr gut individualisierbar, daher den natürlichen Zähnen gut nachempfindbar. Die Belastung der Teleskopkrone ist pysiologisch (=natürlich) und der Restzahnbestand wird stabilisiert. Es ist eine sehr anspruchsvolle Lösung, mit der Ihr Zahnersatz auch Ihr Geheimniss bleiben kann. Kontra: Erhöhter Platzbedarf bei Doppelkronen. Verblendmaterial ist Komposit. Kleiner Teil des Gaumens kann von einer Metallbasis verdeckt sein. Aufwand und Kosten sind höher.
Die Teleskopversorgung
Zahnersatzarten - herausnehmbar
Die Klammermodellgußprothese
die Standard Kassenlösung
für hohen Tragekomfort und gutes Aussehen