PLAYSAFE Sportmundschutz paßt exakt auf die Zahnreihen des Sportlers PLAYSAFE Sportmundschutz kann wechselnden Zahnverhältnissen angepasst werden PLAYSAFE Sportmundschutz bewegt sich nicht PLAYSAFE Sportmundschutz erlaubt freies Atmen PLAYSAFE Sportmundschutz erlaubt nach kurzer Gewöhnung normales Sprechen. Zahlreiche wissenschaftliche Tests zeigen die überlegene Schutzwirkung des laminierten PLAYSAFE Sportmundschutzes PLAYSAFE Sportmundschutz kann in (fast) allen Farben, d.h. auch in den Farben des Teams gefertigt werden
Playsafe-Mundschutz passt exakt auf die Zahnreihe, sitzt fest und erlaubt freies Atmen und nach kurzer Gewöhnung normales Sprechen. Boil & Bite Mundschutz (kochen und einbeißen) passt schlecht und lockert sich. Der Sportler muss diesen Mundschutz auf der Zahnreihe halten, dies hindert ihn an Spitzenleistungen. Dr. J. Park erläuterte auf dem internationalen Symposium für Biomaterialien, dass ein Boil & Bite Mundschutz durch den beim Anpassen entstehenden, dramatischen Stärkeverlust ein falsches Gefühl von Schutz vorgaukelt. Die folgende Grafik zeigt einen Vergleich der PLAYSAFE-Mundschutz-Varianten in Bezug zu einem guten Boil & Bite Mundschutz. Die Daten des Boil & Bite entsprechen 100 %. Ganz rechts im Diagramm finden Sie die Werte vom Playsafe Sportmundschutz HeavyPro.
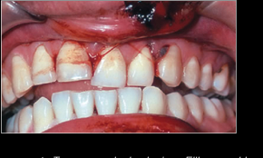
Als zertifizierter PLAYSAFE® Spezialist bieten wir Ihnen die Möglichkeit, einen individuell auf die Mund- und Kieferverhältnisse des Patienten abgestimmten Sportmundschutz zu fertigen. Dieser bietet einen optimalen Schutz. Zahnverletzungen bei Kindern, Teenagern und Erwachsenen können durch das Tragen eines individuell gefertigten Mundschutzes deutlich reduziert werden. Nach Dr. Ray Padilla sind die Versorgungskosten eines einzigen ausgeschlagenen Zahnes mehr als 10 mal höher als die vorbeugenden Kosten für einen individuell gefertigten professionellen Mundschutz. Der PLAYSAFE® Sportmundschutz sorgt für Sicherheit der Zähne beim Sport. Dieser Sportmundschutz wird individuell angefertigt und ist damit Boil & Bite Produkten weit überlegen:
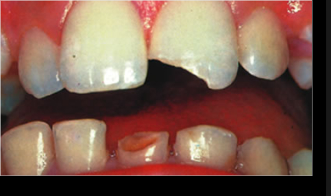
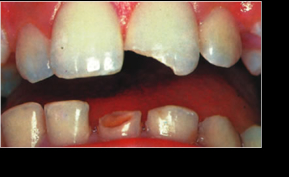
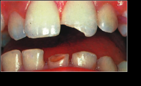
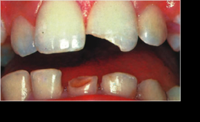
Dieses ernste Trauma wurde durch einen Ellbogenschlag verursacht. Es hätte verhindert werden können, wenn der Sportler einen Playsafe-Mundschutz getragen hätte.
Die National Youth Sports Foundation schätzt, dass jährlich mehr als 5 Millionen Zähne durch Sportaktivitäten in den USA ausgeschlagen werden.
Der Playsafe Sportmundschutz
Playsafe um bis zu 1000% besser
PLAYSAFE Sportmundschutz paßt exakt auf die Zahnreihen des Sportlers PLAYSAFE Sportmundschutz kann wechselnden Zahnverhältnissen angepasst werden PLAYSAFE Sportmundschutz bewegt sich nicht PLAYSAFE Sportmundschutz erlaubt freies Atmen PLAYSAFE Sportmundschutz erlaubt nach kurzer Gewöhnung normales Sprechen. Zahlreiche wissenschaftliche Tests zeigen die überlegene Schutzwirkung des laminierten PLAYSAFE Sportmundschutzes PLAYSAFE Sportmundschutz kann in (fast) allen Farben, d.h. auch in den Farben des Teams gefertigt werden
P l a y s a f e - M u n d s c h u t z passt exakt auf die Zahnreihe, sitzt fest und erlaubt freies Atmen und nach kurzer Gewöhnung normales Sprechen. Boil & Bite Mundschutz (kochen und einbeißen) passt schlecht und lockert sich. Der Sportler muss diesen Mundschutz auf der Zahnreihe halten, dies hindert ihn an Spitzenleistungen. Dr. J. Park erläuterte auf dem internationalen Symposium für Biomaterialien, dass ein Boil & Bite Mundschutz durch den beim Anpassen entstehenden, dramatischen Stärkeverlust ein falsches Gefühl von Schutz vorgaukelt. Die folgende Grafik zeigt einen Vergleich der PLAYSAFE- Mundschutz-Varianten in Bezug zu einem guten Boil & Bite Mundschutz. Die Daten des Boil & Bite entsprechen 100 %. Ganz rechts im Diagramm finden Sie die Werte vom Playsafe Sportmundschutz HeavyPro.
Als zertifizierter PLAYSAFE® Spezialist bieten wir Ihnen die Möglichkeit, einen individuell auf die Mund- und Kieferverhältnisse des Patienten abgestimmten Sportmundschutz zu fertigen. Dieser bietet einen optimalen Schutz. Zahnverletzungen bei Kindern, Teenagern und Erwachsenen können durch das Tragen eines individuell gefertigten Mundschutzes deutlich reduziert werden. Nach Dr. Ray Padilla sind die Versorgungskosten eines einzigen ausgeschlagenen Zahnes mehr als 10 mal höher als die vorbeugenden Kosten für einen individuell gefertigten professionellen Mundschutz. Der PLAYSAFE® Sportmundschutz sorgt für Sicherheit der Zähne beim Sport. Dieser Sportmundschutz wird individuell angefertigt und ist damit Boil & Bite Produkten weit überlegen:
Dieses ernste Trauma wurde durch einen Ellbogenschlag verursacht. Es hätte verhindert werden können, wenn der Sportler einen Playsafe-Mundschutz getragen hätte.
Die National Youth Sports Foundation schätzt, dass jährlich mehr als 5 Millionen Zähne durch Sportaktivitäten in den USA ausgeschlagen werden.
Der Playsafe Sportmundschutz
Playsafe um bis zu 1000% besser
PLAYSAFE Sportmundschutz paßt exakt auf die Zahnreihen des Sportlers PLAYSAFE Sportmundschutz kann wechselnden Zahnverhältnissen angepasst werden PLAYSAFE Sportmundschutz bewegt sich nicht PLAYSAFE Sportmundschutz erlaubt freies Atmen PLAYSAFE Sportmundschutz erlaubt nach kurzer Gewöhnung normales Sprechen. Zahlreiche wissenschaftliche Tests zeigen die überlegene Schutzwirkung des laminierten PLAYSAFE Sportmundschutzes PLAYSAFE Sportmundschutz kann in (fast) allen Farben, d.h. auch in den Farben des Teams gefertigt werden
Playsafe-Mundschutz passt exakt auf die Zahnreihe, sitzt fest und erlaubt freies Atmen und nach kurzer Gewöhnung normales Sprechen. Boil & Bite Mundschutz (kochen und einbeißen) passt schlecht und lockert sich. Der Sportler muss diesen Mundschutz auf der Zahnreihe halten, dies hindert ihn an Spitzenleistungen. Dr. J. Park erläuterte auf dem internationalen Symposium für Biomaterialien, dass ein Boil & Bite Mundschutz durch den beim Anpassen entstehenden, dramatischen Stärkeverlust ein falsches Gefühl von Schutz vorgaukelt. Die folgende Grafik zeigt einen Vergleich der PLAYSAFE-Mundschutz-Varianten in Bezug zu einem guten Boil & Bite Mundschutz. Die Daten des Boil & Bite entsprechen 100 %. Ganz rechts im Diagramm finden Sie die Werte vom Playsafe Sportmundschutz HeavyPro.
Als zertifizierter PLAYSAFE® Spezialist bieten wir Ihnen die Möglichkeit, einen individuell auf die Mund- und Kieferverhältnisse des Patienten abgestimmten Sportmundschutz zu fertigen. Dieser bietet einen optimalen Schutz. Zahnverletzungen bei Kindern, Teenagern und Erwachsenen können durch das Tragen eines individuell gefertigten Mundschutzes deutlich reduziert werden. Nach Dr. Ray Padilla sind die Versorgungskosten eines einzigen ausgeschlagenen Zahnes mehr als 10 mal höher als die vorbeugenden Kosten für einen individuell gefertigten professionellen Mundschutz. Der PLAYSAFE® Sportmundschutz sorgt für Sicherheit der Zähne beim Sport. Dieser Sportmundschutz wird individuell angefertigt und ist damit Boil & Bite Produkten weit überlegen:
Dieses ernste Trauma wurde durch einen Ellbogenschlag verursacht. Es hätte verhindert werden können, wenn der Sportler einen Playsafe-Mundschutz getragen hätte.
Die National Youth Sports Foundation schätzt, dass jährlich mehr als 5 Millionen Zähne durch Sportaktivitäten in den USA ausgeschlagen werden.
Der Playsafe Sportmundschutz
Playsafe um bis zu 1000% besser
PLAYSAFE Sportmundschutz paßt exakt auf die Zahnreihen des Sportlers PLAYSAFE Sportmundschutz kann wechselnden Zahnverhältnissen angepasst werden PLAYSAFE Sportmundschutz bewegt sich nicht PLAYSAFE Sportmundschutz erlaubt freies Atmen PLAYSAFE Sportmundschutz erlaubt nach kurzer Gewöhnung normales Sprechen. Zahlreiche wissenschaftliche Tests zeigen die überlegene Schutzwirkung des laminierten PLAYSAFE Sportmundschutzes PLAYSAFE Sportmundschutz kann in (fast) allen Farben, d.h. auch in den Farben des Teams gefertigt werden
Playsafe-Mundschutz passt exakt auf die Zahnreihe, sitzt fest und erlaubt freies Atmen und nach kurzer Gewöhnung normales Sprechen. Boil & Bite Mundschutz (kochen und einbeißen) passt schlecht und lockert sich. Der Sportler muss diesen Mundschutz auf der Zahnreihe halten, dies hindert ihn an Spitzenleistungen. Dr. J. Park erläuterte auf dem internationalen Symposium für Biomaterialien, dass ein Boil & Bite Mundschutz durch den beim Anpassen entstehenden, dramatischen Stärkeverlust ein falsches Gefühl von Schutz vorgaukelt. Die folgende Grafik zeigt einen Vergleich der PLAYSAFE-Mundschutz-Varianten in Bezug zu einem guten Boil & Bite Mundschutz. Die Daten des Boil & Bite entsprechen 100 %. Ganz rechts im Diagramm finden Sie die Werte vom Playsafe Sportmundschutz HeavyPro.
Als zertifizierter PLAYSAFE® Spezialist bieten wir Ihnen die Möglichkeit, einen individuell auf die Mund- und Kieferverhältnisse des Patienten abgestimmten Sportmundschutz zu fertigen. Dieser bietet einen optimalen Schutz. Zahnverletzungen bei Kindern, Teenagern und Erwachsenen können durch das Tragen eines individuell gefertigten Mundschutzes deutlich reduziert werden. Nach Dr. Ray Padilla sind die Versorgungskosten eines einzigen ausgeschlagenen Zahnes mehr als 10 mal höher als die vorbeugenden Kosten für einen individuell gefertigten professionellen Mundschutz. Der PLAYSAFE® Sportmundschutz sorgt für Sicherheit der Zähne beim Sport. Dieser Sportmundschutz wird individuell angefertigt und ist damit Boil & Bite Produkten weit überlegen:
Dieses ernste Trauma wurde durch einen Ellbogenschlag verursacht. Es hätte verhindert werden können, wenn der Sportler einen Playsafe-Mundschutz getragen hätte.
Die National Youth Sports Foundation schätzt, dass jährlich mehr als 5 Millionen Zähne durch Sportaktivitäten in den USA ausgeschlagen werden.
Der Playsafe Sportmundschutz
Playsafe um bis zu 1000% besser