Von Januar bis Juli 2012 absolvierte ZTM Armin Wagner die Weiterbildung zum "Fachlabor für Implantatprothetik" und konnte diese mit Platz 1 als Prüfungsbester sehr erfolgreich abschließen. Diese Fortbildungsreihe bot eine strukturierte und umfassende Spezialisierung für Zahnärzte und Zahntechniker. Sie ist das Ergebnis einer konstruktiven Zusammenarbeit der DGZI, der “Deutschen Gesellschaft für zahnärztliche Implantologie”, als der ältesten wissenschaftlichen implantologischen Gesellschaft Europas und dem zertifizierten Schulungszentrum FUNDAMENTAL. Mit 100% Anerkennung durch die Konsensuskonferenz ist das Curriculum der DGZI eines der wenigen anerkannten Curricula und ein Aufbaustudium auf dem Weg zum Spezialisten Implantologie und zum Master of Science.
1. Indikationsklassen der Implantologie Systemübersicht von Zahnimplantaten Planung der implantatprothetischen Versorgung Restzahnbestand Anamnese und Patientenevaluation Übersicht von der einfachen Diagnostik bis zum DVT 2. spezielle anatomische Kenntnisse für die Implantation Gerostomatologie präimplantäre, prothetische Planung Besonderheiten und Grenzfälle funktionelle Aspekte Ästhetik in der Implantologie 3. Die Versorgung des zahnlosen Ober- und Unterkiefers mit implantatgestützten und implantatgetragenen Suprakonstruktionen unter Berücksichtigung chirurgischer und prothetischer Aspekte Grundlagen der Implantatprothetik praxisbewährte Behandlungskonzepte der ideale Arbeitsablauf zwischen Zahnarztpraxis und Dentallabor herausnehmbare vs. nicht herausnehmbare Prothetik 4. Die implantatgetragene Versorgung des zahnlosen Ober- und Unterkiefers bei komplexen Ausgangssituationen Strategische Pfeilervermehrung Statische Aspekte der Teilprothetik Indikationen 5. Brückenkonstruktionen auf Implantaten statische Aspekte der Kronen- und Brückenprothetik Abutmentauswahl rein implantatgetragene Suprakonstruktionen die Verbindung von Implantaten und natürlichen Zähnen verschiedene Konstruktionsprinzipien verschraubt vs. zementiert
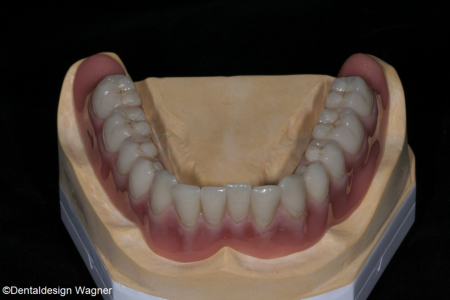
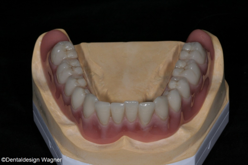
Die Abschlußarbeit umfasste: Oberkiefer: Implantat Regio Zahn 21: Vollkeramikkrone auf einem individuell gefertigten Abutment aus Zirkonoxid Unterkiefer: Implantate Regio 46,43,33 & 36 Individuell gefertigte Gold-Abutments mit einer Teleskopprothese (Hergestellt in Galvanotechnik)
6. Versorgung von Einzelzahnimplantaten aus prothetischer Sicht die implantatgetragene Krone unter Berücksichtigung chirurgischer, prothetischer und zahntechnischer Aspekte vorhersagbare Prothetik vom Wax-up zur perfekten Versorgung Aspekte der 3D Navigation vollkeramische Materialien in der Implantatprothetik 7. präprothetische Planungskonzepte Kooperation Zahntechniker, Zahnarzt, Chirurg als Team Gemeinsame Dokumentation Klinik - Labor - Step by Step bis zur Eingliederung 8.CAD/CAM in der Implantologie perfekte Ästhetik bei implantatgetragenen Suprakonstruktionen Periimplantitis: Klassifikation, Kausalfaktoren, Therapie, Prävention
Ein großer Schwerpunkt lag in der Erstellung eigener praktischer Arbeiten, die geprüft und bewertet wurden.
Auszeichnung der “Deutschen Gesellschaft für zahnärztliche Implantologie” (DGZI)
Die Bilder der Prüfungsarbeit
Die Schwerpunkte dieser Spezialisierung:
Von Januar bis Juli 2012 absolvierte ZTM Armin Wagner die Weiterbildung zum "Fachlabor für Implantatprothetik" und konnte diese mit Platz 1 als Prüfungsbester sehr erfolgreich abschließen. Diese Fortbildungsreihe bot eine strukturierte und umfassende Spezialisierung für Zahnärzte und Zahntechniker. Sie ist das Ergebnis einer konstruktiven Zusammenarbeit der DGZI, der “Deutschen Gesellschaft für zahnärztliche Implantologie”, als der ältesten wissenschaftlichen implantologischen Gesellschaft Europas und dem zertifizierten Schulungszentrum FUNDAMENTAL. Mit 100% Anerkennung durch die Konsensuskonferenz ist das Curriculum der DGZI eines der wenigen anerkannten Curricula und ein Aufbaustudium auf dem Weg zum Spezialisten Implantologie und zum Master of Science. Ein großer Schwerpunkt lag in der Erstellung eigener praktischer Arbeiten, die geprüft und bewertet wurden.
1. Indikationsklassen der Implantologie Systemübersicht von Zahnimplantaten Planung der implantatprothetischen Versorgung Restzahnbestand Anamnese und Patientenevaluation Übersicht von der einfachen Diagnostik bis zum DVT 2. spezielle anatomische Kenntnisse für die Implantation Gerostomatologie präimplantäre, prothetische Planung Besonderheiten und Grenzfälle funktionelle Aspekte Ästhetik in der Implantologie 3. Die Versorgung des zahnlosen Ober- und Unterkiefers mit implantatgestützten und implantatgetragenen Suprakonstruktionen unter Berücksichtigung chirurgischer und prothetischer Aspekte Grundlagen der Implantatprothetik praxisbewährte Behandlungskonzepte der ideale Arbeitsablauf zwischen Zahnarztpraxis und Dentallabor herausnehmbare vs. nicht herausnehmbare Prothetik 4. Die implantatgetragene Versorgung des zahnlosen Ober- und Unterkiefers bei komplexen Ausgangssituationen Strategische Pfeilervermehrung Statische Aspekte der Teilprothetik Indikationen 5. Brückenkonstruktionen auf Implantaten statische Aspekte der Kronen- und Brückenprothetik Abutmentauswahl rein implantatgetragene Suprakonstruktionen die Verbindung von Implantaten und natürlichen Zähnen verschiedene Konstruktionsprinzipien verschraubt vs. zementiert
Die Abschlußarbeit umfasste: Oberkiefer: Implantat Regio Zahn 21: Vollkeramikkrone auf einem individuell gefertigten Abutment aus Zirkonoxid Unterkiefer: Implantate Regio 46,43,33 & 36 Individuell gefertigte Gold-Abutments mit einer Teleskopprothese (Hergestellt in Galvanotechnik)
6. Versorgung von Einzelzahnimplantaten aus prothetischer Sicht die implantatgetragene Krone unter Berücksichtigung chirurgischer, prothetischer und zahntechnischer Aspekte vorhersagbare Prothetik vom Wax-up zur perfekten Versorgung Aspekte der 3D Navigation vollkeramische Materialien in der Implantatprothetik 7. präprothetische Planungskonzepte Kooperation Zahntechniker, Zahnarzt, Chirurg als Team Gemeinsame Dokumentation Klinik - Labor - Step by Step bis zur Eingliederung 8.CAD/CAM in der Implantologie perfekte Ästhetik bei implantatgetragenen Suprakonstruktionen Periimplantitis: Klassifikation, Kausalfaktoren, Therapie, Prävention
„Fachlabor für Implantatprothetik“
Die Bilder der Prüfungsarbeit
Die Schwerpunkte der Spezialisierung:
Von Januar bis Juli 2012 absolvierte ZTM Armin Wagner die Weiterbildung zum "Fachlabor für Implantatprothetik" und konnte diese mit Platz 1 als Prüfungsbester sehr erfolgreich abschließen. Diese Fortbildungsreihe bot eine strukturierte und umfassende Spezialisierung für Zahnärzte und Zahntechniker. Sie ist das Ergebnis einer konstruktiven Zusammenarbeit der DGZI, der Deutschen Gesellschaft für zahnärztliche Implantologie”, als der ältesten wissenschaftlichen implantologischen Gesellschaft Europas und dem zertifizierten Schulungszentrum FUNDAMENTAL. Mit 100% Anerkennung durch die Konsensuskonferenz ist das Curriculum der DGZI eines der wenigen anerkannten Curricula und ein Aufbaustudium auf dem Weg zum Spezialisten Implantologie und zum Master of Science. Ein großer Schwerpunkt lag in der Erstellung eigener praktischer Arbeiten, die geprüft und bewertet wurden.
1. Indikationsklassen der Implantologie Systemübersicht von Zahnimplantaten Planung der implantatprothetischen Versorgung Restzahnbestand Anamnese und Patientenevaluation Übersicht von der einfachen Diagnostik bis zum DVT 2. spezielle anatomische Kenntnisse für die Implantation Gerostomatologie präimplantäre, prothetische Planung Besonderheiten und Grenzfälle funktionelle Aspekte Ästhetik in der Implantologie 3. Die Versorgung des zahnlosen Ober- und Unterkiefers mit implantatgestützten und implantatgetragenen Suprakonstruktionen unter Berücksichtigung chirurgischer und prothetischer Aspekte Grundlagen der Implantatprothetik praxisbewährte Behandlungskonzepte der ideale Arbeitsablauf zwischen Zahnarztpraxis und Dentallabor herausnehmbare vs. nicht herausnehmbare Prothetik 4. Die implantatgetragene Versorgung des zahnlosen Ober- und Unterkiefers bei komplexen Ausgangssituationen Strategische Pfeilervermehrung Statische Aspekte der Teilprothetik Indikationen 5. Brückenkonstruktionen auf Implantaten statische Aspekte der Kronen- und Brückenprothetik Abutmentauswahl rein implantatgetragene Suprakonstruktionen die Verbindung von Implantaten und natürlichen Zähnen verschiedene Konstruktionsprinzipien verschraubt vs. zementiert
Die Abschlußarbeit umfasste: Oberkiefer: Implantat Regio Zahn 21: Vollkeramikkrone auf einem individuell gefertigten Abutment aus Zirkonoxid Unterkiefer: Implantate Regio 46,43,33 & 36 Individuell gefertigte Gold-Abutments mit einer Teleskopprothese (Hergestellt in Galvanotechnik)
6. Versorgung von Einzelzahnimplantaten aus prothetischer Sicht die implantatgetragene Krone unter Berücksichtigung chirurgischer, prothetischer und zahntechnischer Aspekte vorhersagbare Prothetik vom Wax-up zur perfekten Versorgung Aspekte der 3D Navigation vollkeramische Materialien in der Implantatprothetik 7. präprothetische Planungskonzepte Kooperation Zahntechniker, Zahnarzt, Chirurg als Team Gemeinsame Dokumentation Klinik - Labor - Step by Step bis zur Eingliederung 8.CAD/CAM in der Implantologie perfekte Ästhetik bei implantatgetragenen Suprakonstruktionen Periimplantitis: Klassifikation, Kausalfaktoren, Therapie, Prävention
Auszeichnung der “Deutschen Gesellschaft für zahnärztliche Implantologie” (DGZI)
Die Bilder der Prüfungsarbeit
Die Schwerpunkte dieser Spezialisierung:
Von Januar bis Juli 2012 absolvierte ZTM Armin Wagner die Weiterbildung zum "Fachlabor für Implantatprothetik" und konnte diese mit Platz 1 als Prüfungsbester sehr erfolgreich abschließen. Diese Fortbildungsreihe bot eine strukturierte und umfassende Spezialisierung für Zahnärzte und Zahntechniker. Sie ist das Ergebnis einer konstruktiven Zusammenarbeit der DGZI, der “Deutschen Gesellschaft für zahnärztliche Implantologie”, als der ältesten wissenschaftlichen implantologischen Gesellschaft Europas und dem zertifizierten Schulungszentrum FUNDAMENTAL. Mit 100% Anerkennung durch die Konsensuskonferenz ist das Curriculum der DGZI eines der wenigen anerkannten Curricula und ein Aufbaustudium auf dem Weg zum Spezialisten Implantologie und zum Master of Science.
1. Indikationsklassen der Implantologie Systemübersicht von Zahnimplantaten Planung der implantatprothetischen Versorgung Restzahnbestand Anamnese und Patientenevaluation Übersicht von der einfachen Diagnostik bis zum DVT 2. spezielle anatomische Kenntnisse für die Implantation Gerostomatologie präimplantäre, prothetische Planung Besonderheiten und Grenzfälle funktionelle Aspekte Ästhetik in der Implantologie 3. Die Versorgung des zahnlosen Ober- und Unterkiefers mit implantatgestützten und implantatgetragenen Suprakonstruktionen unter Berücksichtigung chirurgischer und prothetischer Aspekte Grundlagen der Implantatprothetik praxisbewährte Behandlungskonzepte der ideale Arbeitsablauf zwischen Zahnarztpraxis und Dentallabor herausnehmbare vs. nicht herausnehmbare Prothetik 4. Die implantatgetragene Versorgung des zahnlosen Ober- und Unterkiefers bei komplexen Ausgangssituationen Strategische Pfeilervermehrung Statische Aspekte der Teilprothetik Indikationen 5. Brückenkonstruktionen auf Implantaten statische Aspekte der Kronen- und Brückenprothetik Abutmentauswahl rein implantatgetragene Suprakonstruktionen die Verbindung von Implantaten und natürlichen Zähnen verschiedene Konstruktionsprinzipien verschraubt vs. zementiert
Die Abschlußarbeit umfasste: Oberkiefer: Implantat Regio Zahn 21: Vollkeramikkrone auf einem individuell gefertigten Abutment aus Zirkonoxid Unterkiefer: Implantate Regio 46,43,33 & 36 Individuell gefertigte Gold-Abutments mit einer Teleskopprothese (Hergestellt in Galvanotechnik)
6. Versorgung von Einzelzahnimplantaten aus prothetischer Sicht die implantatgetragene Krone unter Berücksichtigung chirurgischer, prothetischer und zahntechnischer Aspekte vorhersagbare Prothetik vom Wax-up zur perfekten Versorgung Aspekte der 3D Navigation vollkeramische Materialien in der Implantatprothetik 7. präprothetische Planungskonzepte Kooperation Zahntechniker, Zahnarzt, Chirurg als Team Gemeinsame Dokumentation Klinik - Labor - Step by Step bis zur Eingliederung 8.CAD/CAM in der Implantologie perfekte Ästhetik bei implantatgetragenen Suprakonstruktionen Periimplantitis: Klassifikation, Kausalfaktoren, Therapie, Prävention
Ein großer Schwerpunkt lag in der Erstellung eigener praktischer Arbeiten, die geprüft und bewertet wurden.
Auszeichnung der “Deutschen Gesellschaft für zahnärztliche Implantologie” (DGZI)
Die Bilder der Prüfungsarbeit
Die Schwerpunkte dieser Spezialisierung: