Metallkronen und -brücken
Metallkeramikkronen und -brücken
Einzelzahn-Defekte, die sich nicht durch eine Füllung restaurieren lassen, können mit einer Vollgußkrone zum Beispiel aus einer hochgoldhaltigen Legierungen behandelt werden. Der Zahn bleibt erhalten und ist sicher geschützt. Zahnlücken lassen sich mit einer Vollgußbrücke schließen. Die Nachbarzähne werden als Pfeiler überkront. Die Brücke wird aus einer hochgoldhaltigen Legierungen gefertigt.
Bei der Keramikverblendkrone wird die keramische Masse in einem aufwendigen Schicht- und Brennverfahren auf ein Metallgerüst (Gold- oder Silberlegierung) aufgetragen. Die Zahnfarbe wird individuell ausgesucht. Keramische Verblendungen können vom Zahntechniker dem natürlichen Vorbild täuschend ähnlich nachgebildet werden; sie sind farbstabil und abriebsfest.
Vollkeramikkronen und -brücken
Zirkonoxid Vollkeramikkronen und -brücken sind ästhetisch die beste Lösung. Diese Versorgungsart besitzt nahezu eine naturidentische Lichtdynamik - oder anders ausgedrückt: egal wie Sie es drehen oder wenden, ein solcher Zahnersatz ist nicht von einem natürlichen Zahn zu unterscheiden, da kein Metallunterbau die Lichtdurchlässigkeit des Materials beeinträchtigt. Schließlich sollte Ihr Zahnersatz auch Ihr Geheimnis bleiben! Vollkeramikkronen sind absolut biokompatibel = äußerst verträglich, da keine Metalllegierung verarbeitet wird.
Pro: Kronen und Brücken dienen dem Wiederaufbau des Gebisses und werden von Zahnarzt und Zahntechniker individuell gefertigt, so daß sie sich zu den Nachbarzähnen und dem Gegenkiefer harmonisch eingliedern. Hierbei werden Biß, Form, Kontur und Kontaktpunkte berücksichtigt. Vollgusskronen und -brücken zeichnen sich durch Stabilität und eine hohe Verschleissfestigkeit aus. Sie ermöglichen eine dauerhafte Sanierung des erkrankten Zahnes unter Berücksichtigung Ihres individuellen Kauverhaltens. Kontra: Da vollkommen unverblendet, tragen Vollgusskronen und -brücken der Ästhetik in keinster Weise Rechnung. Da vom Gesetzgeber auch im sichtbaren Zahnbereich dieser festsitzende Zahnersatz vorgesehen ist, sollten Sie sich über die verschiedenen Verblendungsmöglichkeiten genauer informieren. Zudem trägt der derzeit hohe Goldpreis dazu bei, dass vor allem hochgoldhaltige Legierungen sehr teuer sind.
Pro: Keramikverblendkronen und -brücken sind eine ästhetisch anspruchsvolle Lösung. Der Werkstoff ist ausgezeichnet verträglich und äußerst abriebfest. Überkronte Zähne sind bei individueller Anpassung durch den Zahntechniker kaum vom Original zu unterscheiden. Es bestehen jahrzehntelange, sehr gute Erfahrungen im Bezug auf Haltbarkeit und Ästhetik. Kontra: Die Zahnstümpfe unter Keramikverblendkronen/-brücken sind möglicherweise etwas temperaturempfindlich. Bei vollständig verblendeten Gerüsten (ohne sichtbaren Metallanteil) sind Zuzahlungen unumgänglich. Darüber hinaus kann der Metallunterbau die Zahnfarbe negativ beeinflussen. (weil Metall lichtundurchlässig ist) Je geringer der Goldanteil der verwendeten Legierung, umso höher ist das Risiko von dunklen Verfärbungen/Rändern am Übergang zum Zahnfleisch.
Pro: Kronen und Brücken aus Vollkeramik bieten die mit Abstand beste Ästhetik. Keine Verfärbungen am Zahnfleisch bzw. dunkle Ränder am Übergang zum Zahnfleisch. Sie sind somit nicht von den natürlichen Zähnen zu unterscheiden. Die Verträglichkeit ist ausgezeichnet. Allergische Reaktionen sind (nahezu) ausgeschlossen. Das Temperaturempfinden gleicht dem natürlichen Zahn. In unserem Labor geben wir Ihnen 4 Jahre Garantie auf alle vollkeramischen Arbeiten. Kontra: Höhere Kosten durch aufwendige Herstellung und dadurch ergibt es eine höhere Zuzahlung für den Patienten. Bestimmte Grundvoraussetzungen müssen stimmen: Das bedeutet, dass nicht bei jedem Patienten generell mit einem "Vollkeramikunterbau" gearbeitet werden kann.
Das Goldinlay
Gold eignet sich durch seine Materialeigenschaften hervorragend für Füllungen im hinteren (nicht sichtbaren) Bereich Ihres Gebisses. Individuell angefertigte Goldinlays lassen sich Ihrer Zahnform und Kontur ausgezeichnet anpassen. Die Kaufläche kann in Ihrer ursprünglichen Form durch den Zahntechniker wieder aufgebaut werden, was somit die Kaufunktion wieder herstellt. Das Goldinlay ermöglicht eine dauerhafte Sanierung des erkrankten Zahnes. Da Goldinlays fest in dem Zahn zementiert werden, erhält der Zahn seine ursprüngliche Festigkeit zurück. Die Herstellung eines Inlays ist deutlich anspruchsvoller und aufwendiger als eine Füllung aus Amalgam und erfordert ein hohes Maß an zahnärztlichem und zahntechnischem Können. Die Präzisen Arbeitsschritte, sowie die Materialien haben Ihren Preis. Dafür erhalten Sie jedoch eine ausgesprochene hochwertige, formstabile und haltbare Versorgung
Das Vollkeramikinlay
Pro: Gold zeichnet sich durch seine optimale Verträglichkeit aus. Das Material lässt sich durch den Zahntechniker sehr präzise Verarbeiten, wodurch hochwertige Lösungen entstehen. Goldinlays lassen sich durch finieren exakt an den Zahn anpassen und bietet dadurch einen dauerhaft guten Randschluß. Die Füllungen werden zementiert,was dem Zahn seine ursprüngliche Festigkeit zurück gibt. Ein Goldinlay hält im Durchschnitt etwa 15 Jahre ! Kontra: Zwei Nachteile besitz Gold allerdings: Der Patient muß hier selbst zuzahlen und im sichtbaren Bereich stellt sich die Frage über die Ästhetik von Gold.
Die ästhetisch ansprechendste Lösung stellen Inlays aus Vollkeramik dar. Hydrothermale Glaskeramik besitzt nahezu eine naturidentische Lichtdynamik - oder anders ausgedrückt: egal wie Sie es drehen oder wenden, ein solcher Zahnersatz ist kaum von einem natürlichen Zahn zu unterscheiden. Nicht einmal ein Metallkern beeinträchtigt die Lichtdurchlässigkeit des Materials. Das Keramikinlay wird mit dem natürlichen Zahn verklebt, was Ihm dadurch seine ursprüngliche Festigkeit zurück gibt. Darüber hinaus zeichnet sich das Keramik-Inlay durch seine absolute Verträglichkeit aus, sprich durch seine hohe Biokompatibilität.
Zahnersatzarten - festsitzend
Pro: Perfekte Ästhetik, optimale Verträglichkeit und eine lange Lebensdauer sind die Merkmale von vollkeramischen Inlays. In unserem Dentallabor geben wir Ihnen 4 Jahre Garantie auf alle vollkeramischen Arbeiten. Kontra: Keramik-Inlays sind zwar außerordentlich hochwertige Stücke, diese Qualität hat aber auch ihren Preis. Zuzahlungen sind unumgänglich.
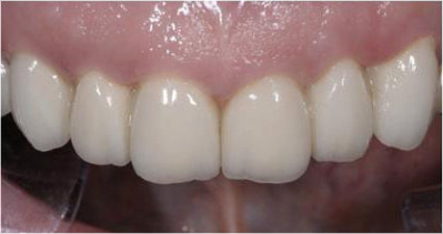
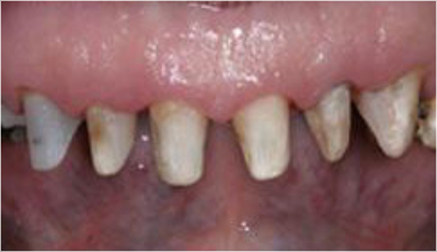
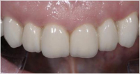
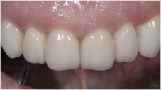
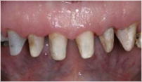
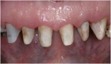
vom Zahnarzt beschliffene Zähne
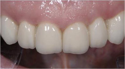
eingesetzte Vollkeramikkronen
teilweise zahnfarben teilweise Metall
Oberfläche zahnfarben Gerüstunterbau Metall
Metallkeramikkronen und -brücken
Einzelzahn-Defekte, die sich nicht durch eine Füllung restaurieren lassen, können mit einer Vollgußkrone zum Beispiel aus einer hochgoldhaltigen Legierungen behandelt werden. Der Zahn bleibt erhalten und ist sicher geschützt. Zahnlücken lassen sich mit einer Vollgußbrücke schließen. Die Nachbarzähne werden als Pfeiler überkront. Die Brücke wird aus einer hochgoldhaltigen Legierungen gefertigt.
Vollkeramikkronen und -brücken
Zirkonoxid Vollkeramikkronen und -brücken sind ästhetisch die beste Lösung. Diese Versorgungsart besitzt nahezu eine naturidentische Lichtdynamik - oder anders ausgedrückt: egal wie Sie es drehen oder wenden, ein solcher Zahnersatz ist nicht von einem natürlichen Zahn zu unterscheiden, da kein Metallunterbau die Lichtdurchlässigkeit des Materials beeinträchtigt. Schließlich sollte Ihr Zahnersatz auch Ihr Geheimnis bleiben! Vollkeramikkronen sind absolut biokompatibel = äußerst verträglich, da keine Metalllegierung verarbeitet wird.
Pro: Kronen und Brücken dienen dem Wiederaufbau des Gebisses und werden von Zahnarzt und Zahntechniker individuell gefertigt, so daß sie sich zu den Nachbarzähnen und dem Gegenkiefer harmonisch eingliedern. Hierbei werden Biß, Form, Kontur und Kontaktpunkte berücksichtigt. Vollgusskronen und - brücken zeichnen sich durch Stabilität und eine hohe Verschleissfestigkeit aus. Sie ermöglichen eine dauerhafte Sanierung des erkrankten Zahnes unter Berücksichtigung Ihres individuellen Kauverhaltens. Kontra: Da vollkommen unverblendet, tragen Vollgusskronen und - brücken der Ästhetik in keinster Weise Rechnung. Da vom Gesetzgeber auch im sichtbaren Zahnbereich dieser festsitzende Zahnersatz vorgesehen ist, sollten Sie sich über die verschiedenen Verblendungsmöglichkeiten genauer informieren. Zudem trägt der derzeit hohe Goldpreis dazu bei, dass vor allem hochgoldhaltige Legierungen sehr teuer sind.
Pro: Keramikverblendkronen und -brücken sind eine ästhetisch anspruchsvolle Lösung. Der Werkstoff ist ausgezeichnet verträglich und äußerst abriebfest. Überkronte Zähne sind bei individueller Anpassung durch den Zahntechniker kaum vom Original zu unterscheiden. Es bestehen jahrzehntelange, sehr gute Erfahrungen im Bezug auf Haltbarkeit und Ästhetik. Kontra: Die Zahnstümpfe unter Keramikverblendkronen/-brücken sind möglicherweise etwas temperaturempfindlich. Bei vollständig verblendeten Gerüsten (ohne sichtbaren Metallanteil) sind Zuzahlungen unumgänglich. Darüber hinaus kann der Metallunterbau die Zahnfarbe negativ beeinflussen. (weil Metall lichtundurchlässig ist) Je geringer der Goldanteil der verwendeten Legierung, umso höher ist das Risiko von dunklen Verfärbungen/Rändern am Übergang zum Zahnfleisch.
Pro: Kronen und Brücken aus Vollkeramik bieten die mit Abstand beste Ästhetik. Keine Verfärbungen am Zahnfleisch bzw. dunkle Ränder am Übergang zum Zahnfleisch. Sie sind somit nicht von den natürlichen Zähnen zu unterscheiden. Die Verträglichkeit ist ausgezeichnet. Allergische Reaktionen sind (nahezu) ausgeschlossen. Das Temperaturempfinden gleicht dem natürlichen Zahn. In unserem Labor geben wir Ihnen 4 Jahre Garantie auf alle vollkeramischen Arbeiten. Kontra: Höhere Kosten durch aufwendige Herstellung und dadurch ergibt es eine höhere Zuzahlung für den Patienten. Bestimmte Grundvoraussetzungen müssen stimmen: Das bedeutet, dass nicht bei jedem Patienten generell mit einem "Vollkeramikunterbau" gearbeitet werden kann.
Das Goldinlay
Gold eignet sich durch seine Materialeigenschaften hervorragend für Füllungen im hinteren (nicht sichtbaren) Bereich Ihres Gebisses. Individuell angefertigte Goldinlays lassen sich Ihrer Zahnform und Kontur ausgezeichnet anpassen. Die Kaufläche kann in Ihrer ursprünglichen Form durch den Zahntechniker wieder aufgebaut werden, was somit die Kaufunktion wieder herstellt. Das Goldinlay ermöglicht eine dauerhafte Sanierung des erkrankten Zahnes. Da Goldinlays fest in dem Zahn zementiert werden, erhält der Zahn seine ursprüngliche Festigkeit zurück. Die Herstellung eines Inlays ist deutlich anspruchsvoller und aufwendiger als eine Füllung aus Amalgam und erfordert ein hohes Maß an zahnärztlichem und zahntechnischem Können. Die Präzisen Arbeitsschritte, sowie die Materialien haben Ihren Preis. Dafür erhalten Sie jedoch eine ausgesprochene hochwertige, formstabile und haltbare Versorgung
Pro: Gold zeichnet sich durch seine optimale Verträglichkeit aus. Das Material lässt sich durch den Zahntechniker sehr präzise Verarbeiten, wodurch hochwertige Lösungen entstehen. Goldinlays lassen sich durch finieren exakt an den Zahn anpassen und bietet dadurch einen dauerhaft guten Randschluß. Die Füllungen werden zementiert,was dem Zahn seine ursprüngliche Festigkeit zurück gibt. Ein Goldinlay hält im Durchschnitt etwa 15 Jahre ! Kontra: Zwei Nachteile besitz Gold allerdings: Der Patient muß hier selbst zuzahlen und im sichtbaren Bereich stellt sich die Frage über die Ästhetik von Gold.
Die ästhetisch ansprechendste Lösung stellen Inlays aus Vollkeramik dar. Hydrothermale Glaskeramik besitzt nahezu eine naturidentische Lichtdynamik - oder anders ausgedrückt: egal wie Sie es drehen oder wenden, ein solcher Zahnersatz ist kaum von einem natürlichen Zahn zu unterscheiden. Nicht einmal ein Metallkern beeinträchtigt die Lichtdurchlässigkeit des Materials. Das Keramikinlay wird mit dem natürlichen Zahn verklebt, was Ihm dadurch seine ursprüngliche Festigkeit zurück gibt. Darüber hinaus zeichnet sich das Keramik-Inlay durch seine absolute Verträglichkeit aus, sprich durch seine hohe Biokompatibilität.
Das Vollkeramikinlay
Zahnersatzarten - festsitzend
Pro: Perfekte Ästhetik, optimale Verträglichkeit und eine lange Lebensdauer sind die Merkmale von vollkeramischen Inlays. In unserem Dentallabor geben wir Ihnen 4 Jahre Garantie auf alle vollkeramischen Arbeiten. Kontra: Keramik-Inlays sind zwar außerordentlich hochwertige Stücke, diese Qualität hat aber auch ihren Preis. Zuzahlungen sind unumgänglich.
Bei der Keramikverblendkrone wird die keramische Masse in einem aufwendigen Schicht- und Brennverfahren auf ein Metallgerüst (Gold- oder Silberlegierung) aufgetragen. Die Zahnfarbe wird individuell ausgesucht. Keramische Verblendungen können vom Zahntechniker dem natürlichen Vorbild täuschend ähnlich nachgebildet werden; sie sind farbstabil und abriebsfest.
vom Zahnarzt beschliffene Zähne
eingesetzte Vollkeramikkronen
teilweise zahnfarben teilweise Metall
Oberfläche zahnfarben Gerüstunterbau Metall
Einzelzahn-Defekte, die sich nicht durch eine Füllung restaurieren lassen, können mit einer Vollgußkrone zum Beispiel aus einer hochgoldhaltigen Legierungen behandelt werden. Der Zahn bleibt erhalten und ist sicher geschützt. Zahnlücken lassen sich mit einer Vollgußbrücke schließen. Die Nachbarzähne werden als Pfeiler überkront. Die Brücke wird aus einer hochgoldhaltigen Legierungen gefertigt.
Bei der Keramikverblendkrone wird die keramische Masse in einem aufwendigen Schicht- und Brennverfahren auf ein Metallgerüst (Gold- oder Silberlegierung) aufgetragen. Die Zahnfarbe wird individuell ausgesucht. Keramische Verblendungen können vom Zahntechniker dem natürlichen Vorbild täuschend ähnlich nachgebildet werden; sie sind farbstabil und abriebsfest.
Zirkonoxid Vollkeramikkronen und -brücken sind ästhetisch die beste Lösung. Diese Versorgungsart besitzt nahezu eine naturidentische Lichtdynamik - oder anders ausgedrückt: egal wie Sie es drehen oder wenden, ein solcher Zahnersatz ist nicht von einem natürlichen Zahn zu unterscheiden, da kein Metallunterbau die Lichtdurchlässigkeit des Materials beeinträchtigt. Schließlich sollte Ihr Zahnersatz auch Ihr Geheimnis bleiben! Vollkeramikkronen sind absolut biokompatibel = äußerst verträglich, da keine Metalllegierung verarbeitet wird.
Pro: Kronen und Brücken dienen dem Wiederaufbau des Gebisses und werden von Zahnarzt und Zahntechniker individuell gefertigt, so daß sie sich zu den Nachbarzähnen und dem Gegenkiefer harmonisch eingliedern. Hierbei werden Biß, Form, Kontur und Kontaktpunkte berücksichtigt. Vollgusskronen und -brücken zeichnen sich durch Stabilität und eine hohe Verschleissfestigkeit aus. Sie ermöglichen eine dauerhafte Sanierung des erkrankten Zahnes unter Berücksichtigung Ihres individuellen Kauverhaltens. Kontra: Da vollkommen unverblendet, tragen Vollgusskronen und -brücken der Ästhetik in keinster Weise Rechnung. Da vom Gesetzgeber auch im sichtbaren Zahnbereich dieser festsitzende Zahnersatz vorgesehen ist, sollten Sie sich über die verschiedenen Verblendungsmöglichkeiten genauer informieren. Zudem trägt der derzeit hohe Goldpreis dazu bei, dass vor allem hochgoldhaltige Legierungen sehr teuer sind.
Pro: Keramikverblendkronen und -brücken sind eine ästhetisch anspruchsvolle Lösung. Der Werkstoff ist ausgezeichnet verträglich und äußerst abriebfest. Überkronte Zähne sind bei individueller Anpassung durch den Zahntechniker kaum vom Original zu unterscheiden. Es bestehen jahrzehntelange, sehr gute Erfahrungen im Bezug auf Haltbarkeit und Ästhetik. Kontra: Die Zahnstümpfe unter Keramikverblendkronen/-brücken sind möglicherweise etwas temperaturempfindlich. Bei vollständig verblendeten Gerüsten (ohne sichtbaren Metallanteil) sind Zuzahlungen unumgänglich. Darüber hinaus kann der Metallunterbau die Zahnfarbe negativ beeinflussen. (weil Metall lichtundurchlässig ist) Je geringer der Goldanteil der verwendeten Legierung, umso höher ist das Risiko von dunklen Verfärbungen/Rändern am Übergang zum Zahnfleisch.
Pro: Kronen und Brücken aus Vollkeramik bieten die mit Abstand beste Ästhetik. Keine Verfärbungen am Zahnfleisch bzw. dunkle Ränder am Übergang zum Zahnfleisch. Sie sind somit nicht von den natürlichen Zähnen zu unterscheiden. Die Verträglichkeit ist ausgezeichnet. Allergische Reaktionen sind (nahezu) ausgeschlossen. Das Temperaturempfinden gleicht dem natürlichen Zahn. In unserem Labor geben wir Ihnen 4 Jahre Garantie auf alle vollkeramischen Arbeiten. Kontra: Höhere Kosten durch aufwendige Herstellung und dadurch ergibt es eine höhere Zuzahlung für den Patienten. Bestimmte Grundvoraussetzungen müssen stimmen: Das bedeutet, dass nicht bei jedem Patienten generell mit einem "Vollkeramikunterbau" gearbeitet werden kann.
Gold eignet sich durch seine Materialeigenschaften hervorragend für Füllungen im hinteren (nicht sichtbaren) Bereich Ihres Gebisses. Individuell angefertigte Goldinlays lassen sich Ihrer Zahnform und Kontur ausgezeichnet anpassen. Die Kaufläche kann in Ihrer ursprünglichen Form durch den Zahntechniker wieder aufgebaut werden, was somit die Kaufunktion wieder herstellt. Das Goldinlay ermöglicht eine dauerhafte Sanierung des erkrankten Zahnes. Da Goldinlays fest in dem Zahn zementiert werden, erhält der Zahn seine ursprüngliche Festigkeit zurück. Die Herstellung eines Inlays ist deutlich anspruchsvoller und aufwendiger als eine Füllung aus Amalgam und erfordert ein hohes Maß an zahnärztlichem und zahntechnischem Können. Die Präzisen Arbeitsschritte, sowie die Materialien haben Ihren Preis. Dafür erhalten Sie jedoch eine ausgesprochene hochwertige, formstabile und haltbare Versorgung
Pro: Gold zeichnet sich durch seine optimale Verträglichkeit aus. Das Material lässt sich durch den Zahntechniker sehr präzise Verarbeiten, wodurch hochwertige Lösungen entstehen. Goldinlays lassen sich durch finieren exakt an den Zahn anpassen und bietet dadurch einen dauerhaft guten Randschluß. Die Füllungen werden zementiert,was dem Zahn seine ursprüngliche Festigkeit zurück gibt. Ein Goldinlay hält im Durchschnitt etwa 15 Jahre ! Kontra: Zwei Nachteile besitz Gold allerdings: Der Patient muß hier selbst zuzahlen und im sichtbaren Bereich stellt sich die Frage über die Ästhetik von Gold.
Die ästhetisch ansprechendste Lösung stellen Inlays aus Vollkeramik dar. Hydrothermale Glaskeramik besitzt nahezu eine naturidentische Lichtdynamik - oder anders ausgedrückt: egal wie Sie es drehen oder wenden, ein solcher Zahnersatz ist kaum von einem natürlichen Zahn zu unterscheiden. Nicht einmal ein Metallkern beeinträchtigt die Lichtdurchlässigkeit des Materials. Das Keramikinlay wird mit dem natürlichen Zahn verklebt, was Ihm dadurch seine ursprüngliche Festigkeit zurück gibt. Darüber hinaus zeichnet sich das Keramik-Inlay durch seine absolute Verträglichkeit aus, sprich durch seine hohe Biokompatibilität.
Zahnersatzarten - festsitzend
Goldkronen und Brücken
Metallkeramikkronen und -brücken
Vollkeramikkronen und -brücken
Das Goldinlay
Das Vollkeramikinlay
Pro: Perfekte Ästhetik, optimale Verträglichkeit und eine lange Lebensdauer sind die Merkmale von vollkeramischen Inlays. In unserem Dentallabor geben wir Ihnen 4 Jahre Garantie auf alle vollkeramischen Arbeiten. Kontra: Keramik-Inlays sind zwar außerordentlich hochwertige Stücke, diese Qualität hat aber auch ihren Preis. Zuzahlungen sind unumgänglich.
vom Zahnarzt beschliffene Zähne
eingesetzte Vollkeramikkronen
teilweise zahnfarben teilweise Metall
Oberfläche zahnfarben Gerüstunterbau Metall
Metallkronen und -brücken
Metallkeramikkronen und -brücken
Einzelzahn-Defekte, die sich nicht durch eine Füllung restaurieren lassen, können mit einer Vollgußkrone zum Beispiel aus einer hochgoldhaltigen Legierungen behandelt werden. Der Zahn bleibt erhalten und ist sicher geschützt. Zahnlücken lassen sich mit einer Vollgußbrücke schließen. Die Nachbarzähne werden als Pfeiler überkront. Die Brücke wird aus einer hochgoldhaltigen Legierungen gefertigt.
Bei der Keramikverblendkrone wird die keramische Masse in einem aufwendigen Schicht- und Brennverfahren auf ein Metallgerüst (Gold- oder Silberlegierung) aufgetragen. Die Zahnfarbe wird individuell ausgesucht. Keramische Verblendungen können vom Zahntechniker dem natürlichen Vorbild täuschend ähnlich nachgebildet werden; sie sind farbstabil und abriebsfest.
Vollkeramikkronen und -brücken
Zirkonoxid Vollkeramikkronen und -brücken sind ästhetisch die beste Lösung. Diese Versorgungsart besitzt nahezu eine naturidentische Lichtdynamik - oder anders ausgedrückt: egal wie Sie es drehen oder wenden, ein solcher Zahnersatz ist nicht von einem natürlichen Zahn zu unterscheiden, da kein Metallunterbau die Lichtdurchlässigkeit des Materials beeinträchtigt. Schließlich sollte Ihr Zahnersatz auch Ihr Geheimnis bleiben! Vollkeramikkronen sind absolut biokompatibel = äußerst verträglich, da keine Metalllegierung verarbeitet wird.
Pro: Kronen und Brücken dienen dem Wiederaufbau des Gebisses und werden von Zahnarzt und Zahntechniker individuell gefertigt, so daß sie sich zu den Nachbarzähnen und dem Gegenkiefer harmonisch eingliedern. Hierbei werden Biß, Form, Kontur und Kontaktpunkte berücksichtigt. Vollgusskronen und -brücken zeichnen sich durch Stabilität und eine hohe Verschleissfestigkeit aus. Sie ermöglichen eine dauerhafte Sanierung des erkrankten Zahnes unter Berücksichtigung Ihres individuellen Kauverhaltens. Kontra: Da vollkommen unverblendet, tragen Vollgusskronen und -brücken der Ästhetik in keinster Weise Rechnung. Da vom Gesetzgeber auch im sichtbaren Zahnbereich dieser festsitzende Zahnersatz vorgesehen ist, sollten Sie sich über die verschiedenen Verblendungsmöglichkeiten genauer informieren. Zudem trägt der derzeit hohe Goldpreis dazu bei, dass vor allem hochgoldhaltige Legierungen sehr teuer sind.
Pro: Keramikverblendkronen und -brücken sind eine ästhetisch anspruchsvolle Lösung. Der Werkstoff ist ausgezeichnet verträglich und äußerst abriebfest. Überkronte Zähne sind bei individueller Anpassung durch den Zahntechniker kaum vom Original zu unterscheiden. Es bestehen jahrzehntelange, sehr gute Erfahrungen im Bezug auf Haltbarkeit und Ästhetik. Kontra: Die Zahnstümpfe unter Keramikverblendkronen/-brücken sind möglicherweise etwas temperaturempfindlich. Bei vollständig verblendeten Gerüsten (ohne sichtbaren Metallanteil) sind Zuzahlungen unumgänglich. Darüber hinaus kann der Metallunterbau die Zahnfarbe negativ beeinflussen. (weil Metall lichtundurchlässig ist) Je geringer der Goldanteil der verwendeten Legierung, umso höher ist das Risiko von dunklen Verfärbungen/Rändern am Übergang zum Zahnfleisch.
Pro: Kronen und Brücken aus Vollkeramik bieten die mit Abstand beste Ästhetik. Keine Verfärbungen am Zahnfleisch bzw. dunkle Ränder am Übergang zum Zahnfleisch. Sie sind somit nicht von den natürlichen Zähnen zu unterscheiden. Die Verträglichkeit ist ausgezeichnet. Allergische Reaktionen sind (nahezu) ausgeschlossen. Das Temperaturempfinden gleicht dem natürlichen Zahn. In unserem Labor geben wir Ihnen 4 Jahre Garantie auf alle vollkeramischen Arbeiten. Kontra: Höhere Kosten durch aufwendige Herstellung und dadurch ergibt es eine höhere Zuzahlung für den Patienten. Bestimmte Grundvoraussetzungen müssen stimmen: Das bedeutet, dass nicht bei jedem Patienten generell mit einem "Vollkeramikunterbau" gearbeitet werden kann.
Das Goldinlay
Gold eignet sich durch seine Materialeigenschaften hervorragend für Füllungen im hinteren (nicht sichtbaren) Bereich Ihres Gebisses. Individuell angefertigte Goldinlays lassen sich Ihrer Zahnform und Kontur ausgezeichnet anpassen. Die Kaufläche kann in Ihrer ursprünglichen Form durch den Zahntechniker wieder aufgebaut werden, was somit die Kaufunktion wieder herstellt. Das Goldinlay ermöglicht eine dauerhafte Sanierung des erkrankten Zahnes. Da Goldinlays fest in dem Zahn zementiert werden, erhält der Zahn seine ursprüngliche Festigkeit zurück. Die Herstellung eines Inlays ist deutlich anspruchsvoller und aufwendiger als eine Füllung aus Amalgam und erfordert ein hohes Maß an zahnärztlichem und zahntechnischem Können. Die Präzisen Arbeitsschritte, sowie die Materialien haben Ihren Preis. Dafür erhalten Sie jedoch eine ausgesprochene hochwertige, formstabile und haltbare Versorgung
Das Vollkeramikinlay
Pro: Gold zeichnet sich durch seine optimale Verträglichkeit aus. Das Material lässt sich durch den Zahntechniker sehr präzise Verarbeiten, wodurch hochwertige Lösungen entstehen. Goldinlays lassen sich durch finieren exakt an den Zahn anpassen und bietet dadurch einen dauerhaft guten Randschluß. Die Füllungen werden zementiert,was dem Zahn seine ursprüngliche Festigkeit zurück gibt. Ein Goldinlay hält im Durchschnitt etwa 15 Jahre ! Kontra: Zwei Nachteile besitz Gold allerdings: Der Patient muß hier selbst zuzahlen und im sichtbaren Bereich stellt sich die Frage über die Ästhetik von Gold.
Die ästhetisch ansprechendste Lösung stellen Inlays aus Vollkeramik dar. Hydrothermale Glaskeramik besitzt nahezu eine naturidentische Lichtdynamik - oder anders ausgedrückt: egal wie Sie es drehen oder wenden, ein solcher Zahnersatz ist kaum von einem natürlichen Zahn zu unterscheiden. Nicht einmal ein Metallkern beeinträchtigt die Lichtdurchlässigkeit des Materials. Das Keramikinlay wird mit dem natürlichen Zahn verklebt, was Ihm dadurch seine ursprüngliche Festigkeit zurück gibt. Darüber hinaus zeichnet sich das Keramik-Inlay durch seine absolute Verträglichkeit aus, sprich durch seine hohe Biokompatibilität.
Zahnersatzarten - festsitzend
Pro: Perfekte Ästhetik, optimale Verträglichkeit und eine lange Lebensdauer sind die Merkmale von vollkeramischen Inlays. In unserem Dentallabor geben wir Ihnen 4 Jahre Garantie auf alle vollkeramischen Arbeiten. Kontra: Keramik-Inlays sind zwar außerordentlich hochwertige Stücke, diese Qualität hat aber auch ihren Preis. Zuzahlungen sind unumgänglich.
vom Zahnarzt beschliffene Zähne
eingesetzte Vollkeramikkronen
teilweise zahnfarben teilweise Metall
Oberfläche zahnfarben Gerüstunterbau Metall